![]() |
|---|
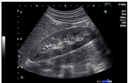
O Hospital de Equinos é o primeiro do Brasil a utilizar esse aparelho. Indicado pela Universal Imaging como um dos 5 melhores aparelhos de ultrassonografia para uso em equinos, ele alia portabilidade com uma qualidade de imagem superior. Com tela totalmente TouchScreen, podemos oferecer aos nossos pacientes um novo nível de diagnóstico, graças á nova tecnologia e aos vários aplicativos que o VIAMO nos oferece, incluindo o ApliPure, uma nova tecnologia de obtenção de imagem presente nos melhores aparelhos de Ultrassonografia do mundo.
Corpo cirúrgico com especialistas capacitados
Seu cavalo acompanhado de perto pelo hospital
Tratamento odontológico completo para o cavalo
Modernos equipamentos de radiologia digital portáti
Assistência regular em seu próprio ambiente
Realizamos este exame par ao seu animal
Moderno e completo laboratório de exames
Diagnóstico de diversas patologias
Detecta áreas nas mudanças de temperatura cutânea
Acesso às vias respiratórias superiores e inferiores do cavalo.